Endométriose - Interview de la Dre Laetitia Buemi
En ce mois de mars, mois de la prévention et de l’information sur l’endométriose, nous tenions à présenter cette maladie dont on parle de plus en plus et qui touche une femme sur dix en Suisse, diminuant drastiquement leur qualité de vie. De plus, l’endométriose est généralement encore trop souvent détectée trop tard.
Notre radiologue Dre Laetitia Buemi, Médecin spécialiste FMH en radiologie, spécialisée en radiologie sénologique et gynécologique, travaillant au centre Affidea Givision - Site de Daler à Fribourg, fait le point sur cette maladie et nous explique l’importance d’un diagnostic précoce ainsi que d’une prise en charge adaptée et sur-mesure pour chaque patiente.
Comment peut-on définir et expliquer l’endométriose ?
Dre Laetitia Buemi : L’endométriose est une affection gynécologique complexe et fréquente touchant 10 à 15% des femmes en âge de procréer et 50% des patientes présentant des troubles de la fertilité ont une endométriose. Elle est souvent douloureuse et évolutive. Elle se définit par la présence anormale de cellules de la muqueuse de l’utérus (de l’endomètre) en dehors de l’utérus. Ces cellules vont s’implanter dans l’abdomen et constituer des nodules d’endométriose. Ces nodules, comme la muqueuse de l’utérus, vont saigner de façon cyclique comme le cycle menstruel, créant ainsi une inflammation et irritation locale. Les ovaires, le péritoine, l’intestin et la vessie sont les principaux organes touchés mais ces nodules peuvent égaler se loger au niveau du diaphragme ou de la plèvre.
L’atteinte de l’utérus est une forme particulière d’endométriose et se nomme adénomyose. Les cellules de l’endomètre s’implantent dans le muscle de l’utérus pouvant causer des symptômes douloureux et avoir un impact sur la fertilité.
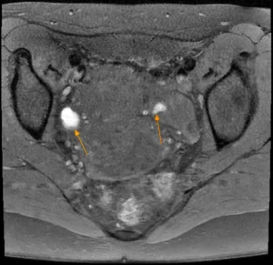
L’endométriose localisée aux niveaux des ovaires se nomme endométriome ou « kyste chocolat ». Elle peut également avoir un impact sur la fertilité.
Quelles sont les causes ?
Dre Laetitia Buemi : Plusieurs théories existent. L’hypothèse privilégiée est celle d’une menstruation rétrograde où le sang pendant les règles reflue à travers les trompes de Fallope jusque dans la cavité abdominale, permettant aux cellules de l’endomètre de la coloniser.
Quels sont les symptômes ?
Dre Laetitia Buemi : Les symptômes de l’endométriose sont multiples et variables comme des douleurs pelviennes chroniques, des douleurs menstruelles fortes, des douleurs lors de rapports sexuels, des douleurs à la défécation et/ou à la miction. Ils se manifestent typiquement au moment de la menstruation et peuvent conduire à l’infertilité.
Il est certain que la qualité de vie des femmes est particulièrement diminuée. Dans certains cas, la maladie est silencieuse et aucun symptôme n’est ressenti.
Quelle est l’importance d’un diagnostic précoce ?
Dre Laetitia Buemi : Un diagnostic précoce permet une prise en charge rapide et efficace contre les douleurs et l’infertilité. L’objectif est d’arrêter la progression de la maladie.
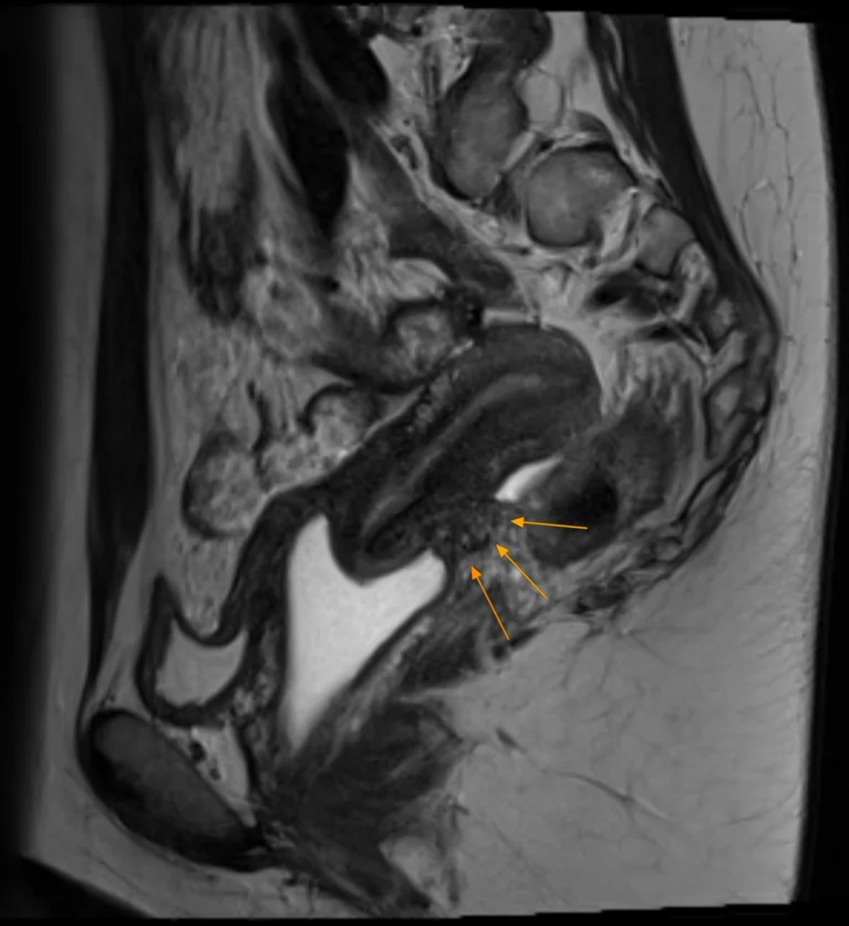
La première étape du diagnostic commence chez le gynécologue. L’imagerie par IRM pelvienne est proposée en cas de clinique douteuse, d’aide pour la décision thérapeutique ou avant une intervention chirurgicale. Le rôle de l’IRM permet de renseigner la taille des nodules, la localisation exacte de l’endométriose ; c’est-à-dire d’identifier la présence de nodules d’endométriose profondes et superficielles, l’atteinte aux ovaires (endométriome), l’atteinte du muscle de l’utérus (adénomyose) ainsi que l’atteinte et conséquence sur les organes adjacents comme sur le système digestif et urinaire. En cas d’absence de signe d’endométriose visible à l’IRM, elle reste utile pour les diagnostics alternatifs.
Une intervention chirurgicale (laparoscopie) est parfois nécessaire pour confirmer la suspicion d’endométriose.
Comment réaliser un traitement adapté à chaque patiente ?
Dre Laetitia Buemi : Le traitement de l’endométriose est adapté à chaque patiente et selon plusieurs facteurs comprenant les douleurs, l’évolution de la maladie, le désir de grossesse et le choix de la patiente. Le traitement de la douleur et l’utilisation d’un traitement hormonal (contraception) constitue la base. Si nécessaire, une intervention chirurgicale est proposée afin de traiter localement les nodules par ablation.
De façon parallèle, la physiothérapie, consultation spécialisée en antalgie et la psychothérapie peuvent être également proposées.
Quel est le risque de récidive ?
Dre Laetitia Buemi : Parfois, cette affection gynécologique peut réapparaître même après une prise en charge efficace. Un bilan d’imagerie par IRM pelvienne aide à diagnostiquer des éventuelles récidives et aide à la prise en charge thérapeutique.
|
| ||
Nodule d’endométriose profonde du torus utérin avec spots hémorragiques | |||
|
| ||
Endométriome bilatéral | |||
|
| ||
Utérus normal (à gauche), utérus avec adénomyose (à droite) | |||






