Endometriose- Interview von Dr. Med. Laetitia Buemi
Im März, dem Monat der Prävention und Information über Endometriose, wollten wir diese Krankheit vorstellen, über die immer häufiger gesprochen wird und die eine von zehn Schweizerinnen betrifft und ihre Lebensqualität drastisch verringert. Ausserdem wird Endometriose im Allgemeinen immer noch oft zu spät erkannt.
Unsere Radiologin Dr. Laetitia Buemi, Fachärztin FMH für Radiologie, spezialisiert auf senologische und gynäkologische Radiologie, arbeitet im Zentrum Affidea Givision – Standort Daler in Freiburg. Sie gibt einen Überblick über diese Krankheit und erklärt uns die Vorteile einer frühzeitigen Diagnose sowie einer angepassten und massgeschneiderten Behandlung für jede Patientin.
Wie kann man Endometriose definieren und erklären?
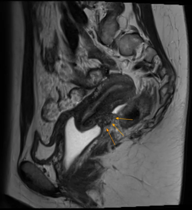
Dr. Med. Laetitia Buemi: Endometriose ist eine komplexe und häufige gynäkologische Erkrankung, von der 10-15% der Frauen im gebärfähigen Alter betroffen sind und bei der 50% der Patientinnen Fruchtbarkeitsstörungen aufweisen. Sie ist oft schmerzhaft und fortschreitend. Bei der Erkrankung treten Zellen der Gebärmutterschleimhaut (des Endometriums) fälschlicherweise ausserhalb der Gebärmutter auf. Diese Zellen nisten sich im Bauchraum ein und bilden Endometrioseknötchen. Diese Knoten bluten, wie die Gebärmutterschleimhaut, im Rhythmus des Menstruationszyklus und rufen so eine lokale Entzündung und Reizung hervor. Die Eierstöcke, das Bauchfell, der Darm und die Blase sind die am häufigsten betroffenen Organe, aber die Knoten können sich auch im Zwerchfell oder im Rippenfell festsetzen.
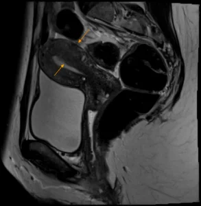
Der Befall der Gebärmutter ist eine Sonderform der Endometriose und wird als Adenomyose bezeichnet. Endometriumzellen nisten sich in der Gebärmuttermuskulatur ein, was schmerzhafte Symptome verursachen und sich auf die Fruchtbarkeit auswirken kann.
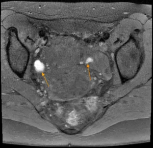
Endometriose-Zysten an den Eierstöcken werden als Endometriome oder „Schokoladenzysten“ bezeichnet. Diese Form der Erkrankung kann sich ebenfalls auf die Fruchtbarkeit auswirken.
Was sind die Ursachen?
Dr. Med. Laetitia Buemi: Es gibt mehrere Theorien. Die bevorzugte Hypothese ist die einer retrograden Menstruation, bei der das Blut während der Menstruation durch die Eileiter in die Bauchhöhle zurückfliesst und es den Endometriumzellen ermöglicht, diese zu besiedeln.
Was sind die Symptome?
Dr. Med. Laetitia Buemi: Die Symptome der Endometriose sind vielfältig und variieren. Es können chronische Beckenschmerzen, starke Menstruationsschmerzen, Schmerzen beim Geschlechtsverkehr, Schmerzen bei der Darmentleerung und/oder beim Wasserlassen auftreten. Sie treten typischerweise zum Zeitpunkt der Menstruation auf und können zu Unfruchtbarkeit führen.
Zweifellos ist die Lebensqualität der betroffenen Frauen besonders stark beeinträchtigt. In manchen Fällen bleibt die Krankheit jedoch unbemerkt und es treten keine Symptome auf.
Wie wichtig ist eine frühe Diagnose?
Dr. Med. Laetitia Buemi: Eine frühzeitige Diagnose ermöglicht eine schnelle und wirksame Behandlung gegen Schmerzen und Unfruchtbarkeit. Ziel ist es, das Fortschreiten der Krankheit zu stoppen.
Der erste Schritt zur Füherkennung erfolgt durch eine Untersuchung bei der Gynäkologin oder dem Gynäkologen. Eine MRT-Untersuchung des Beckens wird bei zweifelhaftem Befund, als Hilfe bei der Therapieentscheidung oder vor einem chirurgischen Eingriff vorgeschlagen. Die Rolle des MRT gibt Aufschluss über die Grösse der Knoten und die genaue Lage der Endometriose; das heisst über das Vorhandensein von tiefen und/oder oberflächlichen Endometrioseknoten, den Befall der Eierstöcke (Endometriome), den Befall der Gebärmuttermuskulatur (Adenomyose) sowie den Befall und die Auswirkungen auf benachbarte Organe wie den Verdauungstrakt und die Harnwege. Wenn in dem MRT keine sichtbaren Endometriosezeichen zu sehen sind, bleibt das bildgebende Verfahren für alternative Diagnosen nützlich.
Manchmal ist ein chirurgischer Eingriff (Laparoskopie) erforderlich, um den Verdacht auf Endometriose zu bestätigen.
Wie führt man eine Behandlung durch, die für jede Patientin geeignet ist?
Dr. Med. Laetitia Buemi: Die Behandlung der Endometriose ist individuell auf jede Patientin zugeschnitten und hängt von mehreren Faktoren ab, wie beispielsweise Schmerzen, Krankheitsverlauf, Schwangerschaftswunsch und Entscheidung der Patientin. Die Schmerzbehandlung und die Anwendung einer Hormontherapie (Empfängnisverhütung) bilden die Grundlage. Falls erforderlich, wird ein chirurgischer Eingriff vorgeschlagen, um die Knoten lokal durch Ablation zu behandeln.
Parallel dazu können auch Physiotherapie, eine spezielle Schmerzberatung und Psychotherapie angeboten werden.
Wie hoch ist das Risiko eines Rückfalls?
Dr. Med. Laetitia Buemi: Manchmal kann diese gynäkologische Erkrankung auch nach einer wirksamen Behandlung wieder auftreten. Eine bildgebende Untersuchung mittels MRT des Beckens hilft bei der Diagnose möglicher Rezidive und unterstützt die Therapie.
|
| ||
Tiefliegende Endometrioseknoten im Torus uterinus mit blutenden Stellen | |||
|
| ||
Bilaterales Endometriom | |||
|
| ||
Normaler Uterus (rechts), Uterus mit Adenomyose (links) | |||






